Interceptive orthodontics recognize and eliminate potential irregularities as soon as they are detected, typically before the adult teeth have grown fully. Modern orthodontists now keep permanent teeth, with phased interceptive orthodontics. In interceptive orthodontics, children are treated at much earlier ages . It is recommended that every child have an orthodontic evaluation by the age of 7 or 8.

When a child need interceptive orthodontics?
  • Crowding: crowding of the teeth, on the other hand, can lead to misalignment.
  • Deep bite: A deep bite occurs when there is an abnormal vertical overlap between the upper and lower teeth
  • Mouth breathing : In children, mouth breathing can cause crooked teeth, facial deformities, or poor growth.
  • Crossbites :crossbite is a lateral misalignment of the dental arches.

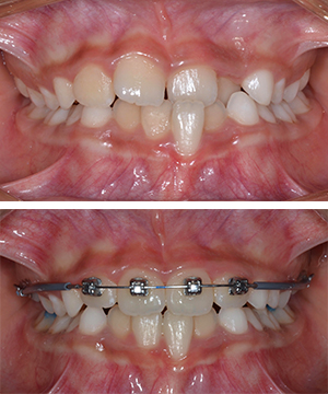
Interceptive treatment is fundamental to reduce the severity of a developing malocclusion. 2 by 4 appliance is a great way to treat both types of crossbite. 2 by 4 appliance is an orthodontic tool, very similar looking to braces. The appliance itself is fixed and works based on an easy activation.

How does a 2x4 Appliance work?

Initially, the fixed device uses four brackets bonded onto the new maxillary permanent incisors. At the same time, two bands of the device are cemented with a wire holding the device together to support the teeth even further. Sometimes, your doctor may also use rubber tubing and coil springs to ensure the brackets and bands proper placement.

Early Interceptive Orthodontics benefits
  • Correct jaw position.
  • Correct dental arch.
  • Guide jaw bone growth to make room for erupting teeth.
  • Correct improper development caused by bad habits like thumb sucking.
  • Minimize risk of damage to protruding front teeth.
  • Improve biting, chewing, and teeth function.
  • Enhance self-esteem and appearance.